









当院では口腔内スキャナー「iTero エレメント 5D Plus」を導入しております。主にインビザラインなどの矯正歯科治療で使用します。
iTeroは光学式のスキャナーで、短時間でお口の中を3Dスキャンすることができます。従来の歯の型取りに比べて患者様の負担を大きく軽減することができます。

また、歯並びを3Dシミュレーションで見ることができるため、今の歯並びがどのようにきれいに治っていくのかがわかりやすく、患者様と治療後のイメージを共有することができることも大きな特徴です。
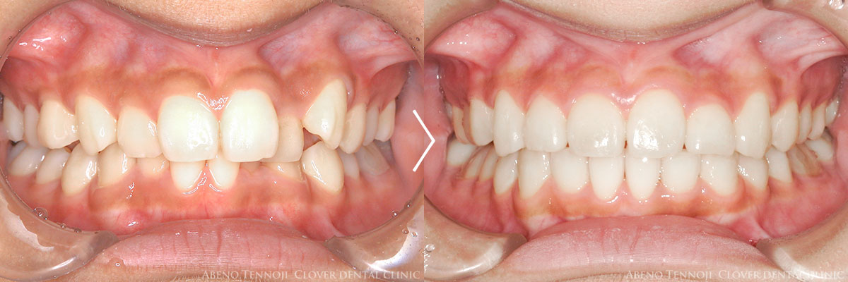
インビザラインはマウスピース型の矯正装置です。透明なマウスピースで目立たずに矯正できます。

オーダーメイドのマウスピースを装着して、定期的にマウスピースを交換して歯並びを整えていきます。
取り外しが可能ですので、装置を気にせずお食事していただけます。
また、歯磨きも普段通りにできます。装置の洗浄もしやすいので衛生的です。
昨今、矯正治療において革新ともいえる技術が普及しております。インビザラインというマウスピース矯正です。
当法人では、インビザラインの多くの実績があります。その実績から、マウスピース矯正のクオリティには自信を持っております。

実はマウスピース矯正にも、様々なレベルがあります。同じインビザラインでもそうです。
実績に裏打ちされた、確実な技術をお約束します。安心の中でのインビザラインを、ぜひおすすめ致します。

メリットは主に3つあり、「見た目」「使用時の快適さ」「取り外し可能」という点です。
透明なマウスピースを使用するため、目立ちにくく、装着時の不快感が少なくなっています。また、取り外しができるのでお口の中を清潔に保つことが可能です。
一方でデメリットとしては、装着時間を守らないと治療が進みにくかったり、全ての症例に対応できるわけではないという点が挙げられます。

当院は、レッドダイヤモンドプロバイダーに6年連続で認定されている医院です。
レッドダイヤモンドプロバイダーとは、インビザラインの年間症例数が1000症例以上の医院に与えられる最高位の称号です。当グループは、年間症例数が西日本一で多くの実績があります。

歯の裏側に装置を付けるのが裏側矯正です。
従来の裏側矯正よりも発音がしやすさや違和感の少なさが特徴の最先端の舌側矯正の装置を使用します。
歯の表面ではなく舌側にブラケットを付けるため、装置が見えない形で矯正治療を進めることができます。
裏側矯正の大きなメリットは「見た目」です。矯正装置を付けていることを気にすることなく日常生活を送ることができます。
また、裏側矯正は後ろに動かすのが得意なため、前歯を後方にスムーズに動かすことができます。
裏側矯正のデメリットとしては、表側矯正やマウスピース矯正と比べると違和感を感じやすい、発音がしにくいという点です。
従来の裏側矯正装置と比較すると違和感や発音のしにくさは軽減されています。

歯の表側にワイヤーを装着して歯並びを治す一般的な矯正方法です。
歯の表面にブラケットを付けて、そこへワイヤーを通して少しずつ歯を動かしていきます。

当院ではこどもの矯正にも力を入れています。幼いうちに治療を開始することで、成長を利用して治療を行えます。
また、子供のうちに矯正治療をすることで、将来大人になってから起こることが予想される歯のトラブルを防ぐことにもなります。
こどもの歯並びには口呼吸・舌の位置・癖なども歯並びに大きく関係します。
小児矯正ではそのような悪い癖などの改善も含めて治療を行います。

「プレオルソ」はマウスピース型の装置です。永久歯に生え変わる前の骨が柔らかい時期から使うことで効果を得られます。
装置をお口に入れられるようになる3〜4才から使用を開始します。
歯並びを悪くする原因となる口の周りや舌の筋肉をトレーニングすることで、歯並びを改善していきます。
マウスピースを起きている時間に最低1時間と寝ている間に装着していただきます。


夜寝ている間にマウスピースをお口に入れてお口の筋肉のバランスを整えて、受け口を改善します。
ムーシールドは3歳から使える受け口治療の装置で、小児矯正の中でも早くから始められる治療です。
3歳〜6歳頃に使用することが多いですが、11歳くらいまで適応になります。


当院では子供のマウスピース矯正「インビザラインファースト」を行っております。
装置は透明なオーダーメイドのマウスピースで、1日20時間以上装着して歯並びをきれいに整えます。歯磨きやお食事の際は取り外します。
6歳〜10歳くらいの混合歯列期のお子さんが適応になります。
