『技術力の天王寺院』
実際の症例の一部をご覧ください
(全て院長症例)
※症例紹介の費用は掲載時点の金額です。治療費用は改定される場合がありますので、最新の料金はお問い合わせください。

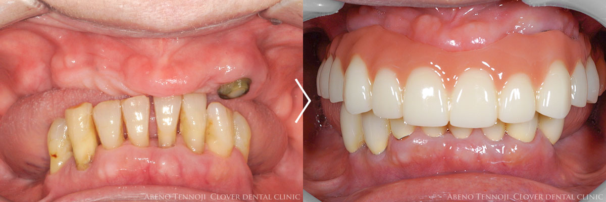
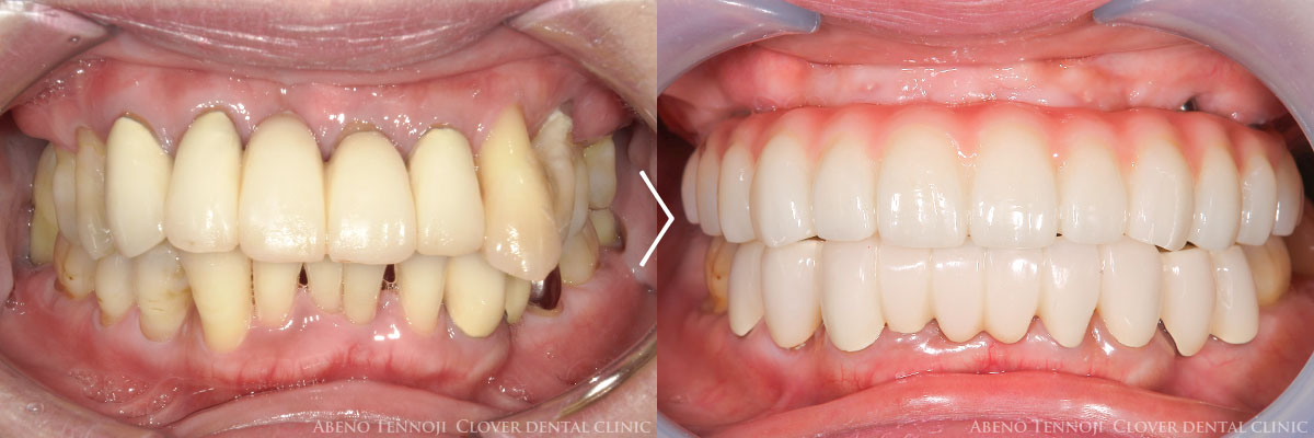
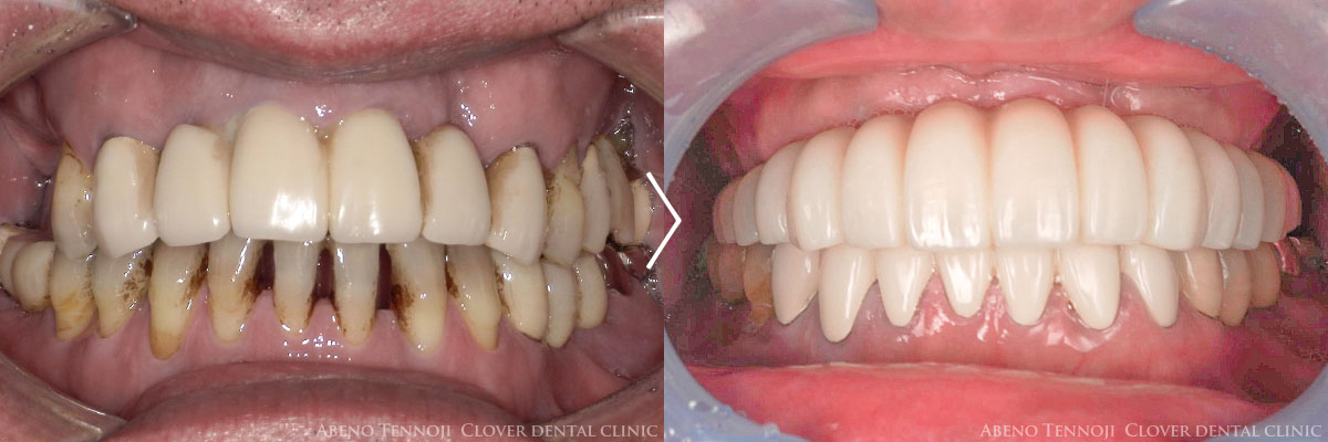
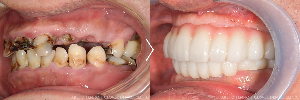
【治療内容】All on 7
上顎 ALLON治療(ジルコニアセラミック仕上げ)
下顎 前歯部 セラミック治療/臼歯部 通常インプラント治療
ALLON治療の成否は、外科の成功のみならず噛み合わせが鍵を握ります。
下顎平面を完全フラットにし、基本に忠実な犬歯誘導を実現しています。

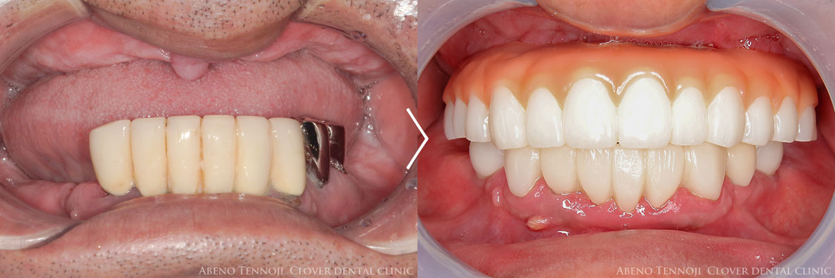
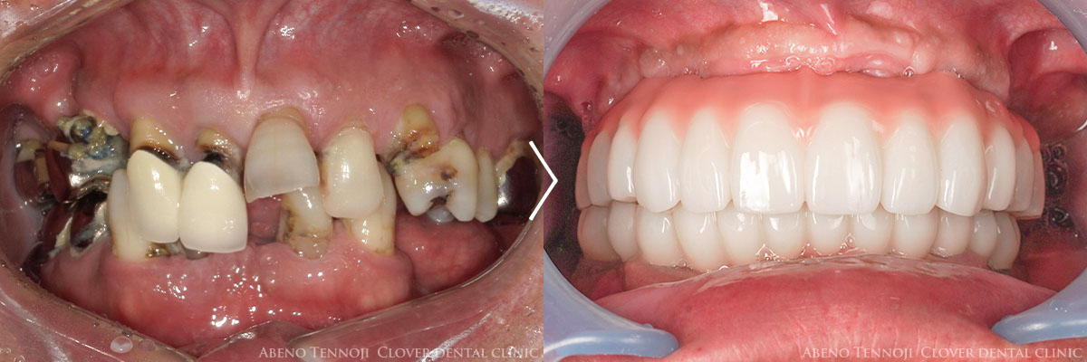
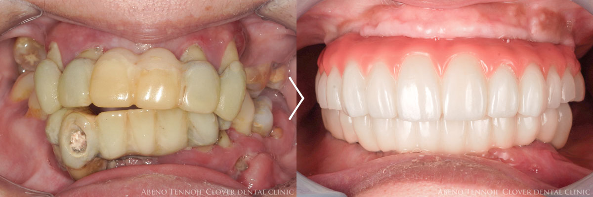
【治療内容】All on 6
上顎 オールオン6 ジルコニアセラミック仕上げ
下顎 臼歯インプラント、前歯保険治療

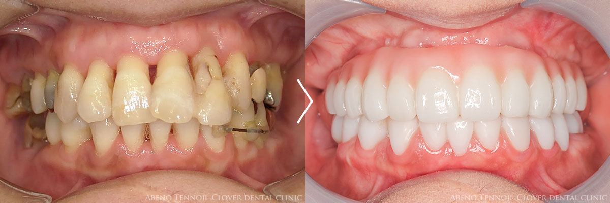
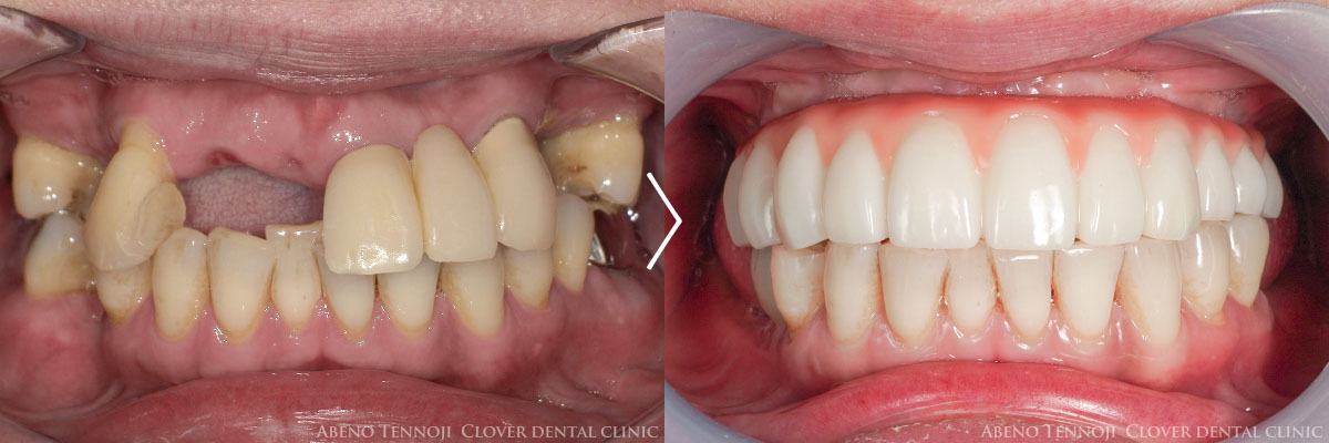
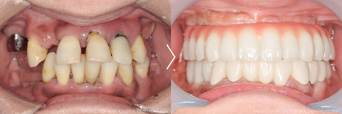
【治療内容】All on 6
上顎 ALLON治療(ジルコニアセラミック仕上げ)、サイナスリフト併用
下顎 咬合調整
咬合高径を意識しながら、ボーンリダクションを教科書通りに実践。
美しい歯肉色のジルコニアセラミックが印象的である。
下顎は、前医からセットされているフルブリッジを尊重し、咬合調整に留めた。

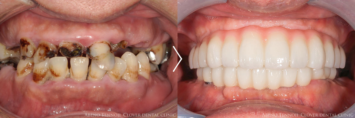
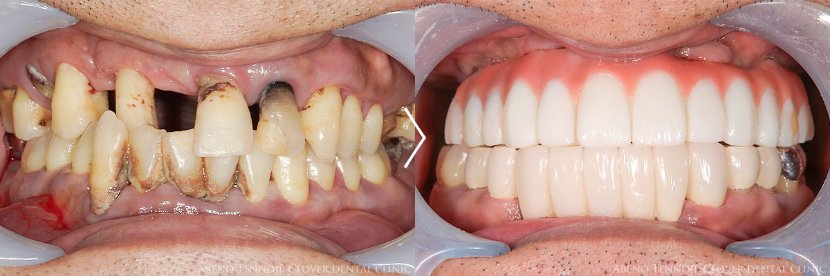
【治療内容】All on 6
上顎 ALLON治療(ジルコニアセラミック仕上げ)
下顎 保険治療(フルブリッジ)
下顎平面のspee湾曲が強く、この解決なしに上顎の成功は無い。
下顎は保険治療にて、費用を最小限に抑えつつ咬合の改善に努めた。
咬合の安定がALLON治療の成功に必須である。

【治療内容】All on 6
上顎 ALLON治療(ジルコニアセラミック仕上げ)
下顎 通常治療
骨質の問題があり、待時荷重と判断した。
『総義歯が安定する咬合は、ALLONでも当然安定する』ため、まずは総義歯の安定を目指した。
荷重開始後、ALLONによる安定化がスムーズに行われた。

【治療内容】All on 6
上顎 ALLON治療(アクリリックレジン仕上げ)
下顎 保険治療(前歯はブリッジ、臼歯は部分義歯)
『ガミースマイル』にならないよう、歯冠がどの程度見えるか検討しつつオペを行った。
下顎前歯の突き上げが強く、咬合のバランス是正が必須。
これにより天然歯の保存を最大化することができた。

【治療内容】All on 6変法
上顎 ALLON治療(ジルコニアセラミック仕上げ)
下顎 ジルコニアセラミック治療 非インプラント
咬合難症例。上顎臼歯歯槽骨の顕著な挺出、著しい下顎 spee 湾曲
咬合の正解が当初判断できなかったため、まずは天然歯での仮歯治療からスタート。顎位の安定を確認したのち、補綴主導型でオールオン治療を行った。

【治療内容】All on 6
上顎 ALLON治療(ジルコニアセラミック仕上げ)、サイナスリフト併用
下顎 ジルコニアセラミック治療 非インプラント
ボーンリダクションを最小限に留め、骨および歯肉の保存を図った。過度なボーンリダクションが全ての症例に必要ではないと考える。
下顎は咬合平面フラットにし、教科書通りの犬歯誘導を与えた。

【治療内容】【治療内容】All on 6
上顎 ALLON治療(ジルコニアセラミック仕上げ)、サイナスリフト併用
下顎 咬合調整のみ
ALLON治療とサイナスリフトを併用した場合、総義歯の期間が長くなり、患者様のモチベーション低下などが問題となる。
しかし当院では、一旦 short arch (10本)での荷重を行い、上記欠点の改善に努めている。
サイナスリフトによる骨造成完了後、臼歯を足す。前歯が無い期間が無いことは、患者様にとって非常にメリットとなる。

【治療内容】All on 6変法
上顎 ALLON治療(ジルコニアセラミック仕上げ)、サイナスリフト併用
下顎 前歯保険治療、通常インプラント治療
『患者様のご都合』には最大限寄り添う。たしかに、ALLON治療はシステマティックで量産可能だが、より個別にカスタマイズすることも大切だと考える。
その際に一番考えなければならないのは、咬合の安定化である。咬合の安定化が得られれば、今現在保険治療しているところがダメになった場合、インプラント治療によって迅速に交換可能である。将来を見据えた暫定治療(保険治療)は『アリ』だと考える。

【治療内容】All on 6
上顎 ALLON治療(ジルコニアセラミック仕上げ)
下顎 治療無し(咬合調整のみ)
サイナスリフトを回避するため、インプラント埋入に必要な骨量の保存に努めた。
その際、臼歯部のリダクション量は最小限に留める場合、前歯部との移行ラインのスムーズ化が必須。これにより前歯部と臼歯部のリダクション量の差があっても、清掃性の良い上部構造を設計可能。

【治療内容】All on 6
上顎 ALLON治療(ジルコニアセラミック仕上げ)
下顎 臼歯部通常インプラント、前歯部保険治療
所謂『受け口』の症例であるが、事前シミュレーションによって解決可能。
当院では受け口症例も多いが、全症例通常被蓋でのフィニッシュを達成している。
では、ALLON治療で受け口を改善した場合、どのような咬合を与えるべきか?
下顎の自由度を阻害しないこと、マイルドな犬歯誘導を与えることだと私は考えている。

【治療内容】All on 6
上顎 ALLON治療(ジルコニアセラミック仕上げ)
下顎 咬合調整のみ
咬合が崩壊しており、高径をどう決定するかが勝負の分かれ目。
この場合、既成の仮歯(というものが存在します)が、当院では完全オーダーメイドで『その場で製作する』ことを徹底しています。それにより理想の咬合が得られます。

【治療内容】All on 6
上顎 ALLON治療(ジルコニアセラミック仕上げ)
下顎 保険治療
咬合力が強く、インプラントをバランスよく埋入する必要があった。サイナスリフトを併用した。
また、術中に血圧が高くなる傾向があり、迅速に処置を行う必要があった。
下顎は同時並行で仮歯をセットし、上下ワンセットの治療という観点を意識してます。

【治療内容】All on 6
上顎 オールオン6(ジルコニアセラミック仕上げ)
下顎 保険治療

【治療内容】All on 4・All on 5
上顎 ALLON4(ショートアーチ)アクリリックレジン仕上げ
下顎 ALLON5 ジルコニアセラミック仕上げ

<After写真のみ>
【治療内容】All on 6
上顎 ALLON6 ジルコニアセラミック仕上げ
下顎 ALLON6 ジルコニアセラミック仕上げ

【治療内容】All on 6
上顎 オールオン6(ジルコニアセラミック仕上げ)
下顎 保険治療(No Implant)

【治療内容】All on 6
上顎 オールオン6(ジルコニアセラミック仕上げ)
下顎 オールオン6(ジルコニアセラミック仕上げ)

【治療内容】All on 4
上顎:オールオン4 (ジルコニアセラミック仕上げ)
下顎:保険治療(前歯)+両側奥歯インプラント(ショートアーチ)

【治療内容】All on 5
上顎 ALLON5 ジルコニアセラミック仕上げ
下顎 下顎前歯のみ保険治療(仮歯の状態)

【治療内容】All on 6
上顎 オールオン6変法 ジルコニアセラミック仕上げ
下顎 通常セラミック治療

【治療内容】All on 6/All on 4
上顎 オールオン6(ジルコニアセラミック仕上げ)
下顎 オールオン4(ジルコニアセラミック仕上げ)

【治療内容】All on 6
上顎 オールオン6(ジルコニアセラミック仕上げ)
下顎 オールオン6(ジルコニアセラミック仕上げ)

【治療内容】All on 6
上顎 オールオン6(ジルコニアセラミック仕上げ)
下顎 オールオン6(ジルコニアセラミック仕上げ)

【治療内容】All on 6
上下オールオン6 アクリリックレジン仕上げ(上下とも)

【治療内容】All on 6
上 オールオン6 ジルコニアセラミック仕上げ
下 保険治療(下顎平面整列)

【治療内容】All on 6
上 オールオン6 ジルコニアセラミック仕上げ
下 オールオン6 ハイブリッドレジン仕上げ

【治療内容】All on 5
上顎 オールオン5(ジルコニアセラミック仕上げ)
下顎 保険治療(左下奥歯はインプラントブリッジ)

【治療内容】All on 6
上顎 オールオン6 ジルコニアセラミック仕上げ
下顎 オールオン6 ジルコニアセラミック仕上げ


【治療内容】All on 6
上顎 オールオン6 ジルコニアセラミック仕上げ
下顎 臼歯 インプラントブリッジ、前歯 ジルコニアセラミック

【治療内容】All on 6
上顎 オールオン6 ジルコニアセラミック仕上げ
下顎 咬合調整のみ

【治療内容】All on 6
上顎 オールオン6
下顎 保険治療


【治療内容】ボーンアンカードインプラント(準ALLON6)
上顎 ボーンアンカードインプラント(準ALLON6)
下顎 保険治療

【治療内容】All on 6
上顎 ALLON6 ジルコニアセラミック仕上げ
下顎 セラミック治療(インプラント使用なし)

【治療内容】All on 6
上顎 ALLON6 ジルコニアセラミック仕上げ
下顎 ALLON6 ジルコニアセラミック仕上げ

【治療内容】All on 6
上顎 オールオン6ジルコニアセラミック仕上げ
下顎 一部保険治療

【治療内容】All on 6
上顎 オールオン6ジルコニアセラミック仕上げ
下顎 オールオン6ジルコニアセラミック仕上げ

【治療内容】All on 6
上顎 オールオン6(ジルコニアセラミック仕上げ)
下顎 下顎前歯通常インプラントBr

【治療内容】All on 6
上顎 オールオン6(ジルコニアセラミック仕上げ)
下顎 provisional restoration(天然歯)
【治療内容】All on 6
上顎 オールオン6 アクリリックレジン
下顎 保険治療(インプラント無し)

【治療内容】All on 6
上顎 オールオン6 ジルコニアセラミック仕上げ
下顎 オールオン6 ジルコニアセラミック仕上げ

【治療内容】All on 6
上顎 オールオン6 ジルコニアセラミック仕上げ
下顎 保険治療(前装冠)

【治療内容】All on 6/All on 4
上 Allon6 ジルコニアセラミック仕上げ
下 Allon4 ジルコニアセラミック仕上げ

【治療内容】All on 6/All on 4
上 Allon6 ジルコニアセラミック仕上げ
下 Allon4 ジルコニアセラミック仕上げ

【治療内容】All on 6
上顎 オールオン6 ジルコニアセラミック仕上げ
下顎 オールオン6 ジルコニアセラミック仕上げ

【治療内容】All on 4
上顎オールオン4 ジルコニアセラミック仕上げ

【治療内容】All on 6
上顎 オールオン6 ジルコニアセラミック仕上げ

【治療内容】All on 6/All on 4
上顎 オールオン6 ジルコニアセラミック仕上げ
下顎 オールオン4 ジルコニアセラミック仕上げ

【治療内容】All on 6
上顎 オールオン6 ジルコニアセラミック仕上げ

【治療内容】All on 6
上顎 オールオン6 ジルコニアセラミック仕上げ
下顎 インプラント+ジルコニアセラミック

【治療内容】All on 6・All on 4
上顎 オールオン6 ジルコニアセラミック仕上げ
下顎 オールオン4 ジルコニアセラミック仕上げ

【治療内容】All on 6・All on 4
上顎 オールオン6 ジルコニアセラミック仕上げ
下顎 オールオン4 ジルコニアセラミック仕上げ

【治療内容】All on 6
上顎 オールオン6 ジルコニアセラミック仕上げ
下顎 オールオン6 ジルコニアセラミック仕上げ

【治療内容】All on 6
上顎 オールオン6 ジルコニアセラミック仕上げ
"Simplicity is the ultimate sophistication."
- Leonardo da Vinci
最もシンプルな方法が、しばしば最善の方法である。
レオナルド・ダビンチ
『他院で見放された、ボロボロで悩む難症例の患者様を救うこと』
『人生の目的は奉仕であり、
他者に良い気分を与えるための、強い意志を示すことである』
(シュバイツァー、安藤正美先生)
インターネットで情報が錯乱する中、何を信じればよいか分かりにくい時代です。
不安や絶望と戦うのは止めましょう。
多数の実績と診断力をもとに、あなたにとっての『最適解』を提案します。
また、確かな技術力と臨床力で、提案を形にします。
当院では、ALLON4専門チームを結成し、
最新機材を揃えて、最先端の治療を提供可能です。
大阪天王寺、あべのハルカス隣のあべのHoopで、
あなたの人生を変えましょう。
院長の永井は、開院以来これまでに1000本を超えるインプラント治療を担当してきました。
使用するインプラントについても、Straumann社製など信頼性の高いものを採用しています。
2004年3月 国立徳島大学 歯学部 歯学科入学
2010年4月 愛媛大学医学部付属病院 歯科口腔外科研修医
2011年4月 医療法人 松本歯科クリニック入社(副院長)
2018年1月 医療法人真摯会 まつもと歯科 勤務
2019年5月 医療法人真摯会 クローバー歯科クリニック豊中駅前院 勤務
2021年11月 医療法人真摯会 クローバー歯科・矯正歯科あべの天王寺院 院長就任



"Simplicity is the ultimate sophistication."
- Leonardo da Vinci
最もシンプルな方法が、しばしば最善の方法である。
レオナルド・ダビンチ
1. わずか4本から6本のインプラントで、全体を支えるシンプルかつ美しい構造
2. オペ当日に仮歯が入る(当院実績96%の確率で即時荷重成功)
3. 従来法に比較して半額以下のコスト削減
4. サイナスリフト併用と当院独自技術で『ALLONできない患者様ほぼゼロ』(注1)
5. 高度な技工レベルで美しいセラミック上部構造
私の上顎ALLON4治療のイメージは『太陽と地上』です。
鼻腔という顔の中心が太陽、その鼻腔から上顎上縁が地上です。
まるで太陽から光が地上に降り注ぐかのように、インプラントを配置します。
これにより、シンプルで美しいALLON治療が完結します。
理想的にインプラントが配置されたALLON4は、まさに芸術品です。レントゲンを見てもウットリしてしまいます。ちなみに私のiphoneとapple watchの待ち受け画面は、私自身が行ったALLON4のレントゲン写真です。


歯で悩む毎日を、もう卒業しましょう。
私は大阪天王寺で、歯がボロボロの患者様を専門にしている院長の永井です。
重度歯周病や虫歯で『もう無理かも…』『どうしようもない!』と思っている方に向けて発信しております。
今回、数あるボロボロ治療の中の主役である、ALLON4についてお伝えするために、特設ページを作りました。
もしあなたもこれらの悩みを抱えているなら、All-on-4がその答えかもしれません。
ALLON治療を知っているか、知っていないかは、今後の人生を左右するかもしれません。
当院には歯がボロボロで悩まれている患者様からのご相談が多く、
そういう方におすすめの治療法としてオールオン4をご提案しています。
オールオン4治療は歯が少なくなって困っている方の救世主です。
1.次々に現れる新たな問題
一度治療をしても、別の歯が次々に悪くなるケースが多く、患者は「これで終わる」という安心感を得ることが難しいです。毎回の治療が、ゴールの見えない戦いのように感じることもあります。
2.長期にわたる治療への負担
重度の症状を抱える方は、頻繁に歯科に通う必要があり、1本ずつ治療を繰り返すことで数年に及ぶ場合が殆どです。毎回の治療にかかる時間や痛み、さらには治療費が積み重なり、精神的・経済的な負担が大きくなります。しかも、治る保証はどこにもありません。
3.1本ずつの治療では根本解決にならない不安
「また虫歯になった」「別の歯が悪くなった」という経験が続くと、1本ずつの治療では根本的な解決が見えないことに不安を抱きます。特に、同じパターンが何度も繰り返されると、治療に対するモチベーションも低下してしまいます。
そこで、当院でのALLON治療では、従来法の問題点を解決するよう注力しています。
All-on-4は、こうした状況に陥っている方にとって、全体的な問題を一気に解決できる方法です。4~6本のインプラントで12本の歯を支えるため、口全体の機能と見た目を同時に回復できるのが最大の特徴です。
1.短期間集中治療
1本ずつ治療するのではなく、全体を一度に回復させるため、治療期間が圧倒的に短くなります。仮歯はオペ当日に、完成まで歯がない状態はありません(当院の過去実績96%即時荷重)
2.治療の効果を早期に実感
1回の手術で仮歯が入り、すぐに新しい歯で日常生活を始められます。
3.経済的にも負担を軽減
従来の1本ずつのインプラント治療に比べ、All-on-4は費用が大幅に抑えられます。1本ずつの治療では莫大な費用がかかるところ、All-on-4では少ないインプラントで全体を支えるため、経済的負担が軽くなります。
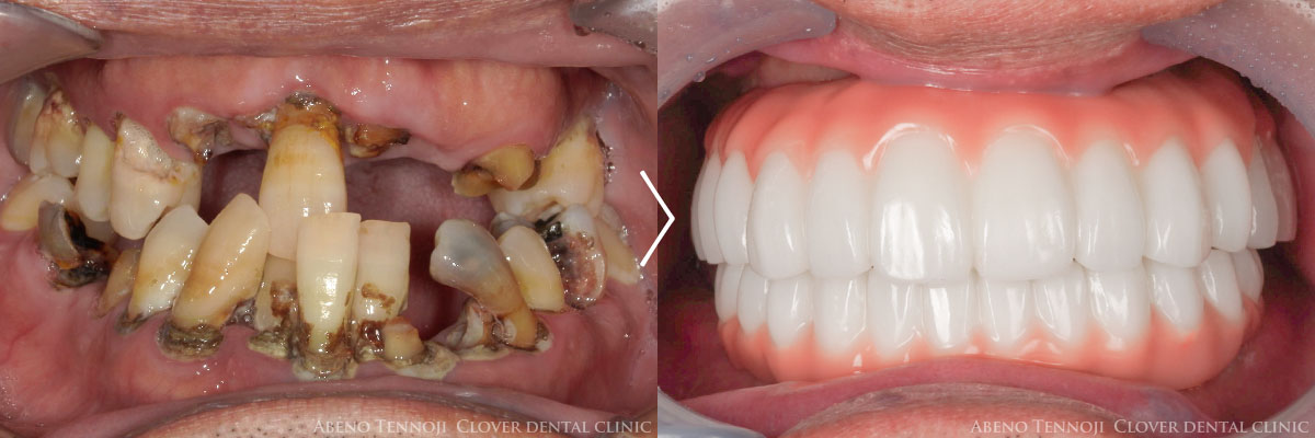
このようなボロボロの方も、1日でこのような仮歯が入ります。
【治療内容】
上顎 ALLON6での即時荷重(仮歯ver1)
下顎 抜歯せず保険治療(通常治療における1day 仮歯)
上顎前歯はボンドで覆われており、咬合が見えない状態だった。
下顎安静位をもとにして、ALLON治療と同時に下顎も仮歯に変更し顎位を探った。
骨が非常に弱く、即時荷重時点ではALLON3の状態であったが、3か月後無事、全てのインテグレーションを確認した。
咬合の安定化がインテグレーションに有効であるとわかる症例。
【治療内容】
上顎 ALLON6での即時荷重(仮歯ver1)
下顎 ALLON6での即時荷重(仮歯ver1)
前医にて部分義歯を作成したが、不快感が強くALLON治療を希望された。
もともとある天然歯が咬合のヒントになる。事前にその高径のプロビジョナルを作成し、即時荷重を行った。仮歯は ver1 から ver2 に変更するタイミングで審美性・発音・清潔性(水の流れ)を改善させる。
【治療内容】
上顎 ALLON6での即時荷重(仮歯ver1)
下顎 ALLON6での即時荷重(仮歯ver1)
上顎はボンドにより連結されており、今まで苦労されていたことが伝わる。
咬合は臼歯と前歯が同時接触するようにした。
即時荷重の場合、この『切端咬合変法』を行うことが多いが、これにより仮歯の強度アップと、インプラントの苦手とする側方力を限界まで少なくできる。
【治療内容】
上顎 ALLON6での即時荷重(仮歯ver1)、サイナスリフト併用
下顎 ALLON6での即時荷重(仮歯ver1)
オペが午前に行われ、午後に即時荷重仮歯の製作が行われる。
特に『上顎サイナスリフト併用ALLON、下顎ALLON』の場合、時間が不足しがちだが、それを防ぐために技工士2名体制で仮歯の製作を行っている。
おのおのの技工士が上顎、下顎の製作を同時に行うことで、時短可能である。
【治療内容】
上顎 ALLON6での即時荷重(仮歯ver1)、サイナスリフト併用
下顎 ALLON6での即時荷重(仮歯ver1)
反対咬合(受け口)が強いため、リダクション量に留意してオペを行った。
また、臼歯部に骨が不足しており、サイナスリフトを併用した。
この症例は、short arch にて一旦即時荷重を行った例。
【治療内容】
上顎 ALLON6での即時荷重(仮歯ver1)、サイナスリフト併用
下顎 抜歯せず保険治療(通常治療における1day 仮歯)
即時荷重の成否は咬合が鍵を握る。具体的には、全歯同時接触、側方力の徹底した開放である。
この症例は、下顎臼歯がないため重心が前歯に偏るが、前歯舌側をフラット化することで安定を図っている。
【治療内容】
上顎 ALLON6での即時荷重(仮歯ver1)、サイナスリフト併用
下顎 ALLON6での即時荷重(仮歯ver1)
治療前の状態を見ると、咬合高径のロスが認められる。
どの程度咬合挙上するか?その目安のひとつは、下顎安静位である。
リダクション量も逆算して理想的な即時荷重が可能となる。
最新の方法が最良であるとは限りません。最新のものが、安全性が高いとは限りません。
我々は、最新の方法も懐疑的な目で精査し、問題がないと思った方法論を採用しています。
伝統的な方法は『安全』がメリットの一つですが、デメリットとして『時間がかかる』というものがあります。我々は、このデメリットを小さくする技術を磨いてきました。他院ではない柔軟な治療戦略を提供いたします。
このように、伝統的治療と最新治療の融合で、安全性の確保をしながら、前進することを可能としています。
ALLON4は外科だけでは成功しません。
上部構造(かぶせ)で咬合のコントロール・清潔性のコントロールを行うからです。
そのためには、技工士の圧倒的技術力が必要です。
私は、一貫して同じ技工士とALLON治療を行っています。
その知識と連携は熟成し、確固たるものとなっています。
Straumann社は国際的に高い評価を受けているインプラントメーカーで、当院ではこの製品を標準で使用しています。
安価なインプラントも存在しますが、体の中に入れるものです。
あなたの身体の一部に、信頼性のあるインプラントを。
重度歯周病で骨が無い方でも、その日に仮歯を。
他院では数年かかると言われた方でも、その日にしっかりとした仮歯が入ります。
『来月までに歯がないと困る』などもご相談頂けます。
また、リスクの高いザイゴマインプラントしかできないと言われた方も、ぜひご相談ください。伝統的方法で対応可能です。
当院では、負担に配慮した金利と支払回数を設定しています。
医療費控除も使えます。専属カウンセラーがわかるまでお伝えします。
まずはカウンセラーがお話をお伺いします。
今どういったことに悩んでおられるのか、今までの辛かった経緯などなんでもお話ください。
CTレントゲン、パノラマレントゲンなどを頂いて、院長永井がしっかりとカウンセリングさせてもらいます。
具体的にだいたいどのように進むか、お伝えすることができます。
その時に役立つのが、院長永井独自のALLON治療分類です。
あなたがどのようなパターンに該当するか初回にお伝えします。
そして、あなたと似た過去の症例について紹介させてもらうことで、イメージも湧きやすくなると好評です。
初回に頂いたCTレントゲンを元に、インプラントの適正配置をシミュレーションします。
そのシミュレーション結果と、詳細な日程(いつごろオペをやって、いつ型取りをして、など)をホワイトボードと書類でご説明します。
この治療計画カウンセリングも無料でさせてもらっています。
初回では思いつかなかったご質問なども出てくるものです。この時になんでも仰ってください。
ALLON治療は、基本的に麻酔科のドクターに『静脈内鎮静法』をさせてもらいます。別名、ウトウト点滴麻酔と言われ、オペの緊張感も和らいでリラックスできます。
朝は大体10時くらいに医院に来ていただきます。実際のオペは11時ころからスタートし、お昼過ぎには終わっています。
そしてお昼からは、院長永井、技工士2名が仮歯を作成していきます。
お口の外で作業する時間が長いため、院内でゆっくり休んでいただくか、外に出られてもかまいません。タバコ休憩に行かれる患者様も多いです。
そして、夕方ごろ完成します。
オペ当日に入った仮歯も綺麗ですが、十分に患者様のご要望に沿ったものではないこともあります。例えば、もう少し前歯が長いほうがいいとか、短いほうがいい、少し前に出してほしい、引っ込めてほしいなど、様々なご要望が出てくるものです。
当院のこだわりとして、このようなご要望を叶えるため、2回目の仮歯をご用意することにしています。いきなり本物の歯を作ることはリスクが高いと考えます。
オペから約3か月後に、2回目の仮歯が入ります。
2回目の仮歯でご満足いただけたら、本物の歯の製作に取りかかります。
骨が十分ある症例で、オペしてから約6か月、骨が非常に薄い場合で9~10ヶ月で終わります。
ALLON治療の良いところは、歯のない期間がないということです。実際の症例のように、仮歯でも十分社会生活が送れます。
本物の歯は、特にセラミック仕上げだと非常に美しく、肌触りもよく、ご満足いただけます。
| 種類 | 料金 |
|---|---|
| アクリリックレジンタイプ 最も一般的。人工歯がレジン |
オールオン4 片顎 2,100,000円 +消費税 |
| オールオン6 片顎 2,500,000円 +消費税 |
|
| セラミックタイプ 人工歯がセラミック |
オールオン4 片顎 2,700,000円 +消費税 |
| オールオン6 片顎 3,100,000円 +消費税 |
※消費税別途
実質年率3.6%最大120回まで
デンタルローンあり
